"Premium Cosmetic Care in Istanbul: Luxury Treatment Without the Luxury Price."

Gum treatment

Gum treatments in Türkiye

Restore your oral health with advanced gum treatments focused on precision, comfort, and long-lasting results.

At Dream Clinic, our specialists offer comprehensive care for your gums and supporting structures—from deep cleanings and scaling to rejuvenating procedures that help you maintain your smile and boost your confidence.

Make an Appointment.
We know why you're here.

Are you a suitable candidate for gum disease treatment?

Yes, you’re an excellent candidate for gum disease treatment! However, you’re not just looking for braces; you’re ready to transform your smile and boost your self-confidence. Here’s why you should visit Dream Gum Clinic.

Smile makeover - before and after

Get the perfect Hollywood Smile at Dream Clinic Create your New Smile With Advanced Cosmetic Dental Techniques

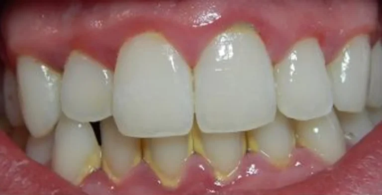
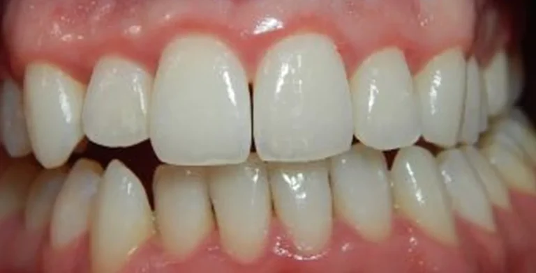
periodontics-ba04-before-treatment-vitrin-clinic periodontics-ba04-after-treatment-vitrin-clinic
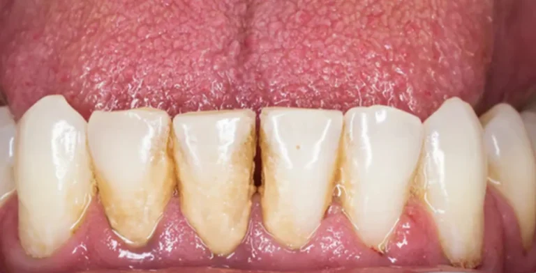
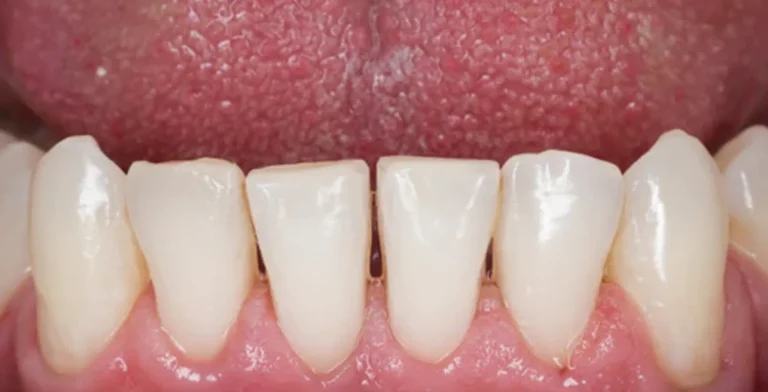
periodontics-ba03-before-treatment-vitrin-clinic periodontics-ba03-after-treatment-vitrin-clinic
periodontics-ba02-before-treatment-vitrin-clinic periodontics-ba02-after-treatment-vitrin-clinic