"Premium Cosmetic Care in Istanbul: Luxury Treatment Without the Luxury Price."

Root Canal Treatment

Root canal treatment in Türkiye

Don’t let tooth pain hold you back. Our advanced root canal treatments will relieve your discomfort and preserve your natural smile.

At Dream  Clinic, our expert dentists use state-of-the-art techniques to perform root canal treatments with precision and comfort, restoring your dental health and preserving your smile.

Make an Appointment.
Are you a suitable candidate for root canal treatment?

Are you a suitable candidate for gum disease treatment?

Yes, you’re probably a good candidate for root canal treatment! But it’s not just about stopping the pain; you’re here to protect your natural tooth and restore your oral health.

Here’s why patients choose Dream Clinic for root canal treatment:

Smile makeover - before and after

Get the perfect Hollywood Smile at Dream Clinic Create your New Smile With Advanced Cosmetic Dental Techniques

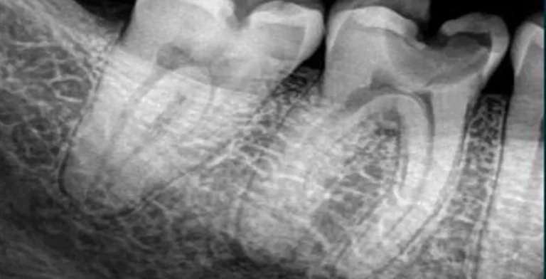
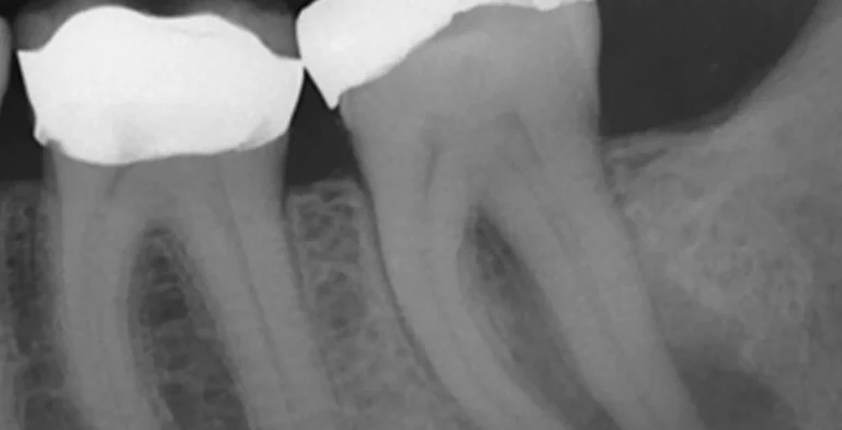
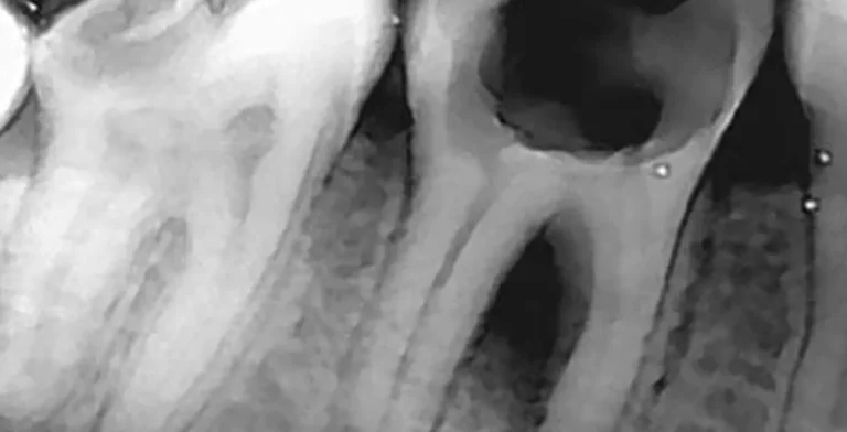
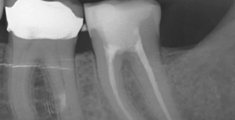
endo-ba04-before-treatment-vitrin-clinic endo-ba04-after-treatment-vitrin-clinic
endo-ba03-before-treatment-vitrin-clinic endo-ba03-after-treatment-vitrin-clinic
endo-ba02-after-treatment-vitrin-clinic endo-ba02-before-treatment-vitrin-clinic
endo-ba01-after-treatment-vitrin-clinic endo-ba01-before-treatment-vitrin-clinic